
Denek ez dakite zer den artrosia, horregatik, jendea tratamendu metodoetan nahastu egiten da eta ez dute patologiaren diagnostikoaren printzipioak ulertzen. Artrosia urraketa disstrofiko larria da, kartilagoen ehunen lesioa barneko barrunbean. Terapiaren konplexutasuna prozesuen itzulezintasunarekin lotuta dago, sendagai modernoaren esparruan sendatze osoa ezin da lortu, baina sintomen larritasuna murriztu daiteke eta patologiaren progresioa moteldu daiteke. Tratamendu egokiarekin, pertsona batek ohiko bizimodua jarraitzen du denbora luzez.
Zer da Artrosia?
Era berean, sinpleagoa da gaixotasunaren artrosia mugimenduaren eta minaren anplitudearen murrizketa probokatzen duen artikulazioen gaixotasuna dela. Kaltearen lehen fasean ez dago manifestaziorik, larritasun txikia izan eta garbitu. Pixkanaka-pixkanaka aurrera doa, gorputzaren, estresa, lesioen eta abarren araberako aldaketak errazten ditu. Estatistiken arabera, 60 urtetik gorako biztanleen% 80 inguru Artrosia da.
Elkartzearen artrosiak denbora luzez garatzen du, hasieran Hyalin kartilagoari bakarrik eragiten dio eta, ondoren, hezurretara hedatzen da, saiakera sinovial, muskuluak eta kapsula bateratua dakar. Artrosi lehen edo goiztiarrean, lesioa zertxobait agerikoa da: lan gogorraren ondoren min txikiak, hantura, azalaren gorritasuna. Sentsazio deserosoak alde batera utzita, juntura deformatuta dago, puztuta, mina larria dakar, goitik behera goizean erortzen da. Gaixotasuna artikulazioaren garapenaren ondoren mina desagertzea da. Tratatzen ez bada, pertsona batek artikulazioaren mugikortasuna galtzen du erabat.

Artrosiaren forma primarioa eta bigarren mailako forma dago. Pseudo-Artrosia (neortrosi) ere bereizten da - jende askok ez daki zer den, beste barietate batzuek baino maizago eratzen baita. Neobrosia artikulazio faltsua da, beraz, kartilagoen ehunak kalteak lortu ziren ezohiko leku batean handitzen dira. Zaila da tratatzea, batez ere kirurgikoki.
Patologia bat dago, funtzio birsortzailearen, immunitatearen edo kalte mekanikoen nahasteen ondorioz. Kartilagoen hainbat kausa direla eta, meheagoa bihurtzen da. Baldintza normalean, kartilagoko oihalak berreskuratzeko elikadura nahikoa jasotzen du, baina gehiegizko ahalegina fisikoaren ondoren edo prozesu metabolikoen urraketa dela eta, oihalek ez dute birsortzeko denborarik. Lehenengo fasean, mugikortasun bateratua izaten jarraitzen du. Artrosia definizio gisa kontsideratuta, merezi du sakontzea patologia garatzeko xehetasun gehiagotan.
Artrosia garatzeko mekanismoa, bere motak
Arrosi barietate asko antzeko eskema baten arabera garatzen dira:
- Lesio nagusiak hyaline kartilagoari eragiten dio. Zirkulazio-nahasteak izanez gero, potentzia-hondatze patologikoa gertatzen da. Artrosia gerta daitekeen lehen urratsa edo kausa da.
- Hyalin estaldura patologiak. Kartilagoaren mehatzeak bere ehun patologikoak ordezkatzea eragiten du - hezur egiturak.
- Hazkunde anomaloak kartilagoan agertzen dira - osteofitoak.
- Kartilagiaren eta hezurren anatomia naturalaren urraketa sortzeak kartilagoko gune osasuntsuen gainkarga pizten du. Tratamendurik gabeko ehun artikuluen suntsipena etengabe aurrera doa eta ezgaitasuna ekartzen du.
Gaixotasun maila handitzen denean, prozesu patologikoak larriagotu egiten dira. Azkenean, Hyalin kartilago guztiak suntsitzen dira.
Gaixotasunaren azken maila honetara eramaten da:
- hezurren prozesu patologikoan inplikazioa, gainazal kartilaginosoen azpian eta gainetik;
- Mugikorraren bateratuaren narritadura, mugikortasuna mugatzea, eta horrek 2 graduko desgaitasuna dakar;
- kapsula dentsitate handiagoa;
- Artikuluaren hutsunea murriztea, irudian nabarmentzen dena. Urraketaren etapa diagnostiko-tantgenologoak zehazten du. Gaixoak konplexutasuna edo ezintasuna sentitzen du gorputz-adarra erabat zuzentzeko eta okertzeko;
- Batera-deformazioa, kartilagoak forma irregularra eskuratzen du, kurbadura probokatzailea;
- Gaixoaren egoeran hondatzea artikulazio osoa suntsitzearekin.
Artrosiaren faseak
Gaixotasun bateratuek 3 garapen fase ditu:

- Gradu 1. Nahaste morfologikoak dagoeneko hasi dira, baina oraindik ez dira nabaritzen. Patologiak fluido sinovialen egoerari eragiten dio batez ere, eta horrek okerrago hornitzen ditu kartilagoko ehunak mantenugaien osagaiekin, kartilagoaren indarra murriztuz. Artikulazioen karga hantura eta mina eragiten du.
- 2. etapa. Hornikuntzaren gabezia dela eta, beharrezko kartutxoak suntsitzen dira, hezur-hazkuntzak kartilagoaren gainazalean eratzen dira. Minak pertsonaia nabarmenagoa eskuratzen du, atseden luzea egin ondoren, lan fisiko txikiak ezabatzen ditu. Mina hanturarekin batera doa. Muskuluak luzatuta daude, eta horrek motor motordun ahulak edo batez bestekoak eragiten ditu.
- 3 gradu. Askotan minak daude, zaila da gorputz-adarra mugitzea artikulazioan izandako aldaketengatik. Lesioak zabalak dira, biluzik begiratzen dute. Gune bateratuaren deformazioa gertatzen da, kaltetutako eremua puztu eta gorria bihurtzen da. Gorputz ardatza asaldatuta dago eta horrek mugimenduaren konplexutasuna dakar. Aldaketa patologikoak ligamenduak laburtzea eragiten du. Subluekiak eta kontratazioak agertzen dira. Inguruko muskuluak laburtu edo luzatu egiten dira, eta horietatik kontratuaren funtzioa ahultzen da.
Artosia garatzeko arrazoiak eta arrisku faktoreak
Artikulazioen artrosiaren kausak patologia moduaren arabera desberdintzen dira. Ukondoaren artikulazioaren artrosia deformatzea, orkatilen artikulazioa eta sorbaldako artrosia batzuetan garatzen da batzuetan kausa nabarmenik gabe, posible da mediku batekin, erreumatologian espezialista bat detektatzea. Arazoa patologien ikusgai izan ez balitz, gaixotasuna lehen mailako deritzo. Bigarren mailako urraketa diagnostikatu da batez ere, hainbat estatu sor ditzake.
Garapenaren arrazoi nagusiak:
- Kalte mekanikoak: dislokazioak, hausturak, luzapena, menisko lesioak;
- immunitatearen lanetan gaizki lotutako nahaste endokrino ugari;
- metabolismoaren patologiak;
- displasia (ehun artikulazioen sortzetiko anomaliak);
- artikulazioen hantura jasan zuen;
- Patologiak artikulazioen mugikortasun handia eta ligamenduak ahultzea eragiten dutenak.
Artrosia duten pazienteek gehienetan gaixotasuna topatu zuten faktore predisposatzaileengatik:
- adina -Related aldaketak;
- Pisu arina eta IMC handitu. Jointeko karga altuak bateratutako higadura azkarra dakar;
- substantzia onuragarriak ez izatea;
- Artikulazioetan gehiegizko karga. Arrazoia prestakuntza bizia, kirolak, lan fisiko gogorra da;
- lan baldintza zailak edo kirolaren ikuspegi okerra. Kalteak edo antzeko gaixotasunak kaltetzeko joera genetiko baten historia baldin badago, garrantzitsua da prestakuntza programa berezi bati atxikitzea, ariketa traumatikoak eta zailak saihestea;
- Kaltetutako oihalen akzio handi baten zurrunbiloarekin lotutako eragiketa konplexuak berreskuratzeko edo transmititutako eragiketa konplexuak. Horrelako estatuek negatiboki eragiten dute kartilagoaren leuntasun eta indarrari, karga hauen gainean minimizatu behar da;
- Joera genetikoa, artrosia maizago diagnostikatzen da patologia berdina duten senideak dituzten pazienteetan;
- 50 urte inguru daramatza emakumezkoen kasuan, sistema endokrinoaren aldaketekin lotuta dago.
- toxinen eragin suntsitzailea;
- bizileku eskualdean ingurumen egoera eskasa;
- Artikulazioan maiz kalteak, batzuetan mikrocracks ez dira denbora luzez agertzen;
- hipotermia;
- Bizkarrezurraren zati lumbar eta zerbikalaren patologia.
Artrosi primarioa

Arrosi primarioa modu independentean eratzen da, hau da, barneko edo kanpoko arrazoien eraginik gabe. Porrota Hyalin kartilagoan nahiko poliki garatzen da. Oso gutxitan diagnostikatzen da, kasu guztien% 3-5 baino ez da.
Bigarren Artrosia
Bigarren mailako artrosia gehienetan kasuen% 95-96ko aginduen bidez hautematen da. Aurreko patologikoren batek probokatu ditu.
Arrosiaren seinaleak eta sintomak
Gaixotasunaren adierazpenak lokalizazioaren arabera ez dira gutxi, sarritan seinaleak belaunetan, sorbaldan eta hip junturetan islatzen dira, karga altua dela eta.
Gehienetan kexak hona datoz:
- mina. Larritasun txikia dute hasierako fasean, sentsazio egoera larriagotuz. Hasieran, artikulazioek min hartu zuten esnatu ondoren bakarrik, epela argiaren ondoren, sentsazioak desagertu ondoren. Denborarekin, minak gauez agertzen dira, asko asaldatzen dute ibilaldi luzean, korrika eta abar, azken fasean, mina sindromeak pertsona bat jarraitzen du denbora guztian;
- Mugimendu anplitude mugatua. Ekintzen zurruntasunak egituran aldaketa anatomikoak adierazten ditu. Hasieran goizean manifestatzen da, orduan eguneroko mugimenduak mugatuak dira. Egoeraren larritasunik ez izateko, lana askotarikoa eta argia izan behar da, bestela, gaixoak ezin izango du denbora tarte bat desegin eta estutu. Denborarekin, kontratatzeko arriskua dago, eta horrek pertsona batek motor gaitasuna galtzen du;
- Mugimendu garaietan koroa - artrosiaren adierazpen zehaztugabeak dira. Gaixotasuna artikulazio bakarrean (poliestrosia izan ezik) krisialdiaren agerraldia da (poliestrosia izan ezik), ondoeza, mina eta ekintza mugatuak lagunduta. Korrontearen izaera olatua da - hasieran bere burua ahultzen da, pixkanaka areagotu egiten da, baina 3 etapetan desagertu egiten da;
- gorritasunarekin hantura. Gaixoaren artikulazioaren ondoan kokatzen da, horrek hanturazko prozesua eta gaixotasunaren progresioa adierazten ditu. Medikuak ulertzen du shell sinovialak kaltetuta daudela, horrek fluidoen metaketa eta mina areagotzea eragiten du;
gorputz deformazioak. Gaixotasunaren ahaztutako moduan agertzen da, kartilagoen ehunen suntsiketa osoa eta osteofitoak agertzea adierazten du. Estatu horretan, goiko eta azpitik dauden artikulazioetan presioa handitzen da, eta horretatik kurbadura gorputz osoan eragina izan dezake.
Garrantzitsua da gogoratzea hankako hezurren deformazioa askotan artoarekin nahasten dela. Sintoma gaizki arriskutsua da lehen begiratuan, baina ondorio larriak ekartzen ditu.
Konplikazioak
Hasieran, terapia metodo kontserbadoreak tratatzeko erabiltzen dira. Eraginkorrak badira edo gaixoak medikuaren gomendioak alde batera utzi baditu, ondorio arriskua dago.
Konplikazio posibleak:
- Artikulazioa erabat suntsituta dago;
- Gorputza higiezina da, mugimendu guztiak oso zailak dira;
- Hernia intervertebral;
- ezintasuna;
- Junturaren deformazio sendoa edo gorputz osoa.
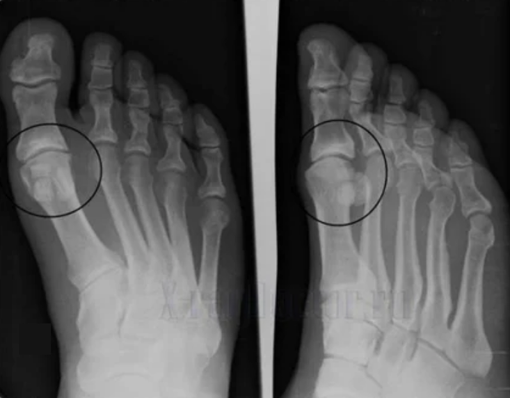
Artrosiaren diagnostikoa
Diagnostikoa egiteko, erreumatologoek gaixoaren kexak aztertzen dituzte eta X -Ray azterketa bat preskribatu. Gehienetan erradiografia 2 proiekzioetan erabiltzen da. Medikuak nahaste disstrofikoen presentzia du Hyaline kartilagoan eta hezur-junturetan. Artikuluaren hutsunea murrizten bada, hezurrak deformatu edo berdindu egiten dira, kartilagoaren gainazalean dauden formazio kistikoak daude, artrosikoen seinale nabarmenak dira. Ikuskapenean, Artrosia artikulazioaren ezegonkortasuna adierazten du: gorputz-adarren ardatza eta subluxazioa asaldatuta dago.

Sarritan x -Ray argazki bat ezin da artikulazioaren egoerari buruzko informazio osoa eman. Azterketa sakonagoa lortzeko, konputatutako tomografia aginduta dago, hezurrak aztertzeko eraginkorra da. MRI maiz erabiltzen da ehun bigunak ikasteko.
Diagnostikoan zehar, beste espezialisten inplikazioa praktikatzen da nork lagunduko du patologiaren erroa zehazten lagunduko duena. Askotan hematologo, endokrinologoa, ginekologoa, ortopedikoa kontsultatzeko joera da.
Tratamendu modernoa
Arrosi terapiaren ehunka modu daude, baina denak hainbat metodoetara jaisten dira:
- Droga tratamendua. Zeregin nagusia sintomak aurre egitea da eta urraketa bat gehiago garatzea ekiditea. Gehienetan, analgesikoak mina arintzeko erabiltzen dira, ez-fullizazio anti-fullak ez diren drogak hantura aurre egiteko, droga hormonalak mina larria eta hantura akutua agindutakoa da. Ikastaro bakoitza kartilagoko oihalak suntsitzetik babesten dituzten kondroprotektoreetan oinarritzen da, substantzia naturalak beren fabrikaziorako erabiltzen dira;
- Fisioterapia. Drogaren eraginkortasuna hobetzen du, hanturarekin borrokan, sintomak arintzen ditu, ehunen birsorkuntza azkartzen du. Gehienetan ultrasoinu, elektriko, magnetiko eta laser terapia erabiltzen da. Horrek lokatz bainuak, material naturalak dituzten aplikazioak ere baditu;
- Hezkuntza fisiko medikoa. Erabilgarria da bai prebentzio gisa eta egoera erraztea. Ariketa fisiko egokien ondoren, mina erabat kentzea posible da. Igerilekua bisitatzeko erabilgarria da, yoga-n parte hartzea eta askotan ibiltzea;
- Eskuzko terapia, masajeak gaixotasunaren tratamenduan lagunduko du, artikulazioen kurbaduraren prebentzioan laguntzen baitute. Lesioak egin ondoren, eskuliburu terapeuta artikulazioa berdintzeko gai da, bere finkapena okerreko posizioan saihestuz. Masajearen ondoren, gihar tonua hobetzen da, odol zirkulazioa azkartu egiten da;
- Elikadura egokia. Dieta osasuntsuak gorputza kartilagoetarako mantenugaiekin aberasten lagunduko du eta gorputzaren pisua murrizteko. Masa handi batek artikulazioen higadura areagotzen du;
- Sanatorio-Resort tratamenduak artikulazioak indartuko ditu. Sendatzeko esparruan, sanatorioak balneoterapia, ariketa terapia, prozedura fisioterapeutikoak eta abar eskaintzen dira;
- Terapia gabeko ez den terapia. Artosia, etxola, natura-, aph- eta belar medikuntza tratatzeko, baita akupuntura eta hainbat errezeta folk ere erabiltzen dira;
- Esku-hartze kirurgikoa gaixotasunaren hirugarren fasean ohiko bizitzara itzultzeko modu bakarra da. Endoprettikoak gaixoaren kartilagoa inplantarekin ordezkatzeko aukera ematen du. Eragiketaren eragozpen bakarra kostu handia da. Prozedura bat nahikoa da 15-20 urtez.
Prebentzio neurriak
Izan ere, artikulazioaren artrosia ez da molestatzen zahartzaroan, standak:
- bizimodu osasuntsua mantentzea;
- karga sendoak saihestea;
- behatu dieta;
- ohitura txarrak baztertu;
- Egin gimnasia egunero;
- Jarraitu pisua.
Artrosia gaixotasun arriskutsua da, sendatzea baino errazagoa da. Medikua bilatu eta tratamendu arauak betetzea, gaixoak denbora luzez bizimodu ezaguna mantentzeko gai izango da. Terapia eta burujabetza faltak gaixotasunaren larriagotu eta, azken batean, ezintasuna desgaitasuna sortzen du.

























